Unsichtbare Zahnspangen
Die schönste Art, Zähne zu bewegen
Unsichtbare Zahnspangen sind natürlich die Traumvorstellung aller, die eine Zahnspange benötigen.
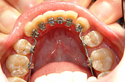
Lingualtechnik
Bei der Lingualtechnik werden die Brackets auf der Innenseite (lingual = zur Zunge hin) der Zähne befestigt. Diese Spange ist von außen absolut nicht sichtbar.
Die Methode kann aber nicht in allen Behandlungsfällen angewandt werden. Sprechen Sie mich an, ich berate Sie gerne.

Aligner-Therapie
Diese Methode verzichtet ganz auf Drähte und arbeitet mit durchsichtigen elastischen Kunststoffschienen (englisch: aligner), die vielfach nahezu unsichtbar sind.
Die Schienen werden auf individuellen set up Modellen (Gipsmodelle mit korrigierter Zahnstellung) hergestellt. Sie bringen die Zähne durch gezielten Druck in Bewegung und schieben sie in kleinen Schritten in die richtige Position.
Aligner-Therapie ist nicht für jeden Patienten und jede Fehlstellung geeignet. Ob diese Behandlungsmethode für Sie in Frage kommt, werde ich nach einer eingehenden Untersuchung feststellen und Sie dann entsprechend beraten.

