Informationen für Jugendliche
Ihr alle kennt andere Kinder und Jugendliche, die eine Zahnspange haben.
Die meisten von euch haben deshalb schon eine feste Vorstellung von der Spange, die sie haben wollen, wenn sie in meine Praxis kommen. Es ist aber leider so, dass man nicht mit jeder Spange alles korrigieren kann.
Der Kieferorthopäde muss also erst mal schauen, was er korrigieren muss und dann kann er erst sagen, mit welcher Spange das möglich ist. Zähne lassen sich am besten mit festen Zahnspangen verschieben und Kiefer korrigiert man meistens mit herausnehmbaren Spangen. Heute werden meistens feste und herausnehmbare Spangen kombiniert eingesetzt.
Das Problem mit den Zahnspangen ist, dass es meistens nicht so schnell geht, wie ihr das möchtet. Es ist dann so wie mit allen Dingen, die ihr jeden Tag machen müsst: zum Beispiel Hausaufgaben machen, Musikinstrument üben, Sporttraining. Das macht nicht immer Spaß und trotzdem macht ihr es (oder ihr müsst es machen), weil ihr ein bestimmtes Ziel erreichen wollt.
Euer Ziel mit einer Zahnspange ist, dass ihr schöne Zähne haben wollt und schöne Zähne euch viel hübscher machen.
Dieses Ziel dürft ihr nie aus den Augen verlieren!!!


Denkt daran, wenn mal die Zeit kommt, wo euch die Zahnspange stinkt!! Und diese Zeit kommt bei jedem einmal.
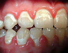
Ein anderes großes Problem während der Zeit des Spangetragens ist das Zähneputzen. Was nützen euch gerade Zähne nach der Regulierung, wenn diese Zähne hässlich verfleckt oder kaputt sind!!


Dreckige, fleckige und kaputte Zähne sind hässlich!!!
Regelmäßige und gründliche Zahnpflege schützt vor solchen Zähnen.
Wir zeigen euch gerne, wie ihr das machen müsst.
