Behandlungsablauf
Nach einer ersten Untersuchung, in der eine Behandlungsnotwendigkeit festgestellt wurde, wird eine genaue Diagnostik erstellt.
Diese Diagnostik umfasst:
- Abdrücke beider Kiefer, um Gipsmodelle herzustellen.
Diese werden vermessen, damit notwendiger Platzbedarf oder Platzüberschuss ermittelt werden kann.
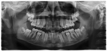
- Röntgenübersichtsaufnahme aller Zähne.
Sind alle Zähne angelegt?? Liegen Zähne quer? Wo fehlt Platz?
- Röntgenaufnahme des Kopfes von der Seite
Wie sind die Lagen des Oberkiefers und des Unterkiefers?
Wie ist die Neigung der vorderen Zähne im Ober-, und Unterkiefer?
- Fotos des Kopfes im Profil und von vorne
Sind Asymmetrien zu erkennen?
Welche Auswirkungen haben falsche Kieferlagen auf das Aussehen?

- Fotos der Zähne
Vergleich – vor der Behandlung – nach der Behandlung
Festhalten von Schäden und Flecken auf den Zähnen
- Röntgenaufnahme der Hand (nicht immer)
Hier lässt sich der augenblickliche Wachstumsstand eines Jugendlichen feststellen. Kann eine Kieferveränderung noch durchgeführt werden?

- Funktionsanalyse (nicht immer)
Wie liegen die Kiefergelenke? Werden sie durch den augenblicklichen Biss in eine falsche Lage gedrückt?


Aus diesen Einzelteilen erhält der Kieferorthopäde ein Gesamtbild der Fehlstellungen der Zähne und der Kiefer eines Patienten.
Dies wird mit dem Patienten oder mit den Erziehungsberechtigten besprochen.
Die Auswahl der Behandlungsapparaturen wird erklärt. Gleichzeitig wird in dieser Besprechung die finanzielle Seite erläutert.
Bei Mitgliedern einer gesetzlichen Krankenkasse muss nun der Kieferorthopäde einen Antrag auf Übernahme der von der Krankenkasse zu tragenden Behandlungskosten stellen.
Dem Patienten oder den Erziehungsberechtigten wird ein Kostenvoranschlag jener Kosten, die nicht von der gesetzlichen Krankenkasse übernommen werden, mitgegeben.
Nach Eingang der Genehmigung der Kostenübernahme durch die gesetzliche Krankenkasse kann die erste Behandlungsapparatur eingesetzt werden.
Privat versicherte Patienten erhalten einen ausführlichen Behandlungsplan mit einem Kostenvoranschlag. Das Einsetzen der ersten Behandlungsapparatur kann nach Wunsch erfolgen.
