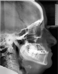
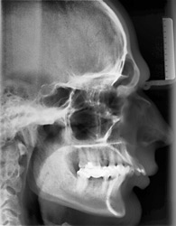
Kieferorthopädisch-kieferchirurgische Kombinationsbehandlungen
Manchmal die einzige Art, einen Kiefer zu verändern
Wenn nicht nur die Zähne, sondern auch der Oberkiefer oder der Unterkiefer verändert werden müssen, so kann dies mit Spangen nur während der Wachstumsphasen gemacht werden.
Ist das Wachstum beendet, so kann diese Kieferveränderung nur operativ korrigiert werden.
Der Kieferorthopäde verschiebt die Zähne, der Kieferchirurg operiert den Kiefer. Anschließend sorgt der Kieferorthopäde wieder dafür, dass alles zusammenpasst.




