Feste Zahnspangen
Die genaueste Art, Zähne zu bewegen
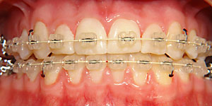
Feste Zahnspangen können nur vom Kieferorthopäden angebracht und wieder entfernt werden. Sie bestehen aus kleinen Klötzchen (den „Brackets“), die auf die Zähne aufgeklebt werden und Metalldrähten (den „Bögen“), die die Zähne miteinander verbinden. Durch die Kräfte der Drähte werden die Zähne bewegt.
Zusätzlich werden oft noch Gummizüge oder Federn eingehängt, um eine bestimmte Bewegung zu erreichen. Nur mit festen Zahnspangen sind auch Bewegungen der Zahnwurzel möglich.
Neben den Metallbrackets gibt es auch durchsichtige oder zahnfarbene Kunststoff- und Keramikbrackets, die den Wünschen nach gutem Aussehen mehr entgegenkommen.


